Choroidal osteomas are benign tumors of the choroid with localized ocular sequelae.
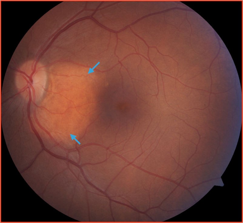
A color photograph demonstrating the clinical appearance of a choroidal osteoma (blue arrows). These localized tumors can enlarge over time with potential sequelae including outer retinal/RPE atrophy, subretinal fluid and subretinal choroidal neovascularization. B-scan ultrasound testing or CT scan imaging will highlight the calcific nature of the lesion.
