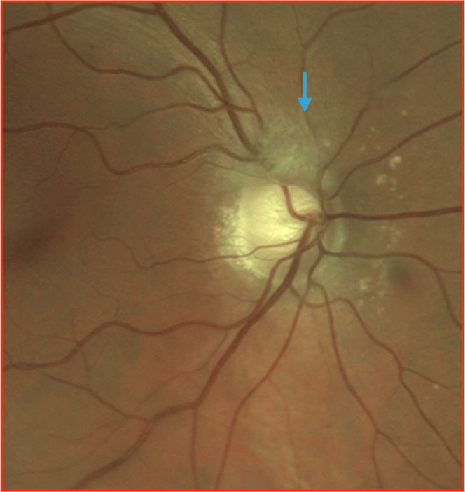
A capillary hemangioma is a benign vascular tumor of the retina. It can be seen in syndromic pathology and isolated as a primary ocular disease.
Capillary hemangiomas are benign vascular tumors that can effect vision. They can be isolated or associated with systemic syndromes (such as von Hippel-Lindau). This mild case presented with concerns for optic disc edema and the tumor was then detected using fluorescein angiography. Other appearances and locations can occur and this case represents only one potential presentation.

