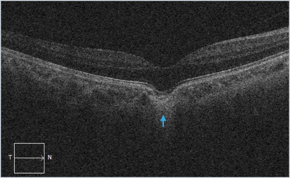
Focal choroidal excavation is commonly abbreviated as FCE and can be noted incidentally as well as in patients with an antecedent history of inflammatory chorioretinal disease.
Examples (blue arrows) from different patients with focal choroidal excavation. This finding is often noted incidentally and patients rarely have symptoms. Occasionally it can be associated with macular neovascularization and inflammatory disorders. The key visual sign on SD-OCT imaging is the outward bowing of the RPE.


