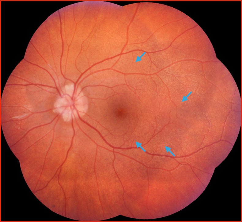
Pseudoxanthoma elasticum is an autosomal recessive disorder effecting multiple organs including the skin and intestine. Eye findings are common.
The peau d’orange appearance (blue circle) is a concept relating to mottling of the RPE that often begins in the macular region but can extend anteriorly in more advanced cases. The grouping of angioid streaks, peau d’orange, and optic disc drusen (not shown here) is typical for cases of pseudoxanthoma elasticum.
Pseudoxanthoma elasticum is an autosomal recessive systemic disease with ocular findings. This image demonstrates the presence of optic disc drusen along with a peau d’orange appearance marked in the macula and temporal retina extending beyond the arcades (blue arrows noting some areas yet much of the image has this appearance). A peau d’orange appearance refers to the speckled mottling noted clinically. The video OCT indicates that this is a subtle finding in the RPE (for specificity, this appearance is not due to drusen).
